在佛山南海区,佛山市南海区中医院口腔科是一颗璀璨的口腔医疗明珠。它凭借专精的医疗团队、精良的诊疗技术以及贴心的服务,成为众多患者信赖的口腔医疗机构。科室不仅在各类口腔疾病的治疗上有着丰富的经验,还紧跟口腔医学的前列发展,为患者提供个性化、高品质的口腔诊疗方案。无论是日常的口腔保健,还是复杂的口腔手术,这里都能给予患者专精、安心、舒适的诊疗体验。接下来,让我们一同深入了解这家备受赞誉的口腔科。

佛山市南海区中医院口腔科是正规且值得信赖的科室。它依托于南海区中医院,有着严格的医疗管理体系和质量控制标准。科室的医生均具备专精的资质和丰富的临床经验,所使用的医疗设备也都是符合国内标准的精良器械。在这里,患者可以放心就诊,不用担心医疗安心和质量问题。

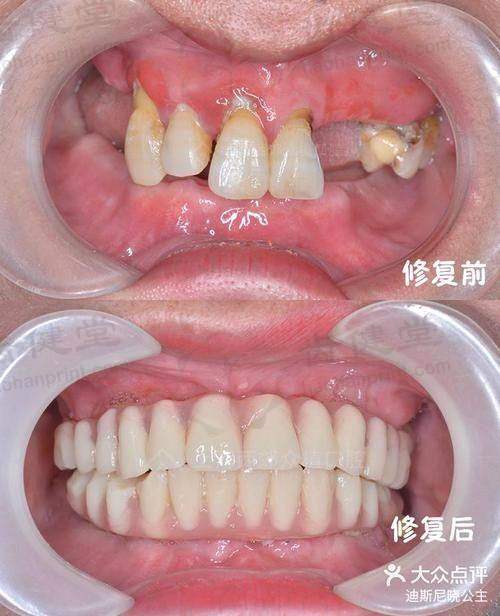
佛山市南海区中医院口腔科治疗项目:在镶牙方面,科室有着独特的技术优势。对于活动假牙镶复,能采用高精度取模技术,确保假牙佩戴的舒适度和稳固性;固定义齿修复则运用精良的数字化设计和制作工艺,使义齿与口腔理想贴合,美观又耐用;种植牙技术更是成熟,医生凭借丰富的经验精细植入种植体,大大提高种植成功几率。此外,科室还擅长口腔颌面部良、恶性肿 瘤切除同期肌骨皮瓣修复手术,腹直肌腹膜游离移植修复颌面缺损技术在全市处于领跑地位。同时,颌面整形美容手术和错颌畸形治疗也是该科室的特色强项。

暂未显示医生全部信息,可询问平台客服或官网,客服24小时为您服务。

每天上午9:00 - 下午6:00

有患者在该科室镶牙后分享道:“在这里镶牙,医生特别耐心,会详细地给我讲解每一个步骤。镶完牙后,吃东西一点都不受影响,就像自己的真牙一样,而且价格也特别合理。我身边有镶牙需求的朋友,我都推荐他们来这里。”还有患者在进行口腔颌面部手术治疗后,对医生的不错医术和术后的修复成效赞不绝口:“医生的技术非常高超,手术特别成功,术后修复也比我想象中快,真的太感谢这里的医生了。”

具体地址可询问平台客服,客服会为您提供详细信息。

乘车路线可通过地图导航软件查询,输入医院名称即可获取详细的乘车路线。

您可通过以下3种方式快速预约挂号:
线上预约:在法定网站完成预约,或直接询问客服,24小时一键预约挂号;
电话预约:拨打服务热线400 - XX - XX(工作日8:00 - 17:00),提供科室、日期及患者身份信息由客服协助登记;
现场预约:医院一楼自助机或挂号窗口凭身份证直接办理(建议提前15分钟到院)。

活动假牙镶复价格:350 - 1600元/颗
www.haohanprint.com固定义齿修复价格:1200 - 3200元/颗
种植牙价格:5000 - 8500元/颗
www.haohanprint.com口腔颌面部肿 瘤切除手术价格:根据肿 瘤的具体情况和手术复杂程度而定,详情可询问客服
颌面整形美容手术价格:因手术项目不同而有所差异,可询问客服获取详细价格信息
总之,佛山市南海区中医院口腔科以其专精的医疗技术、贴心的服务和合理的收费,为广大患者提供了优质的口腔诊疗服务。如果您有口腔方面的问题,不妨选择这里,相信它会给您带来满意的治疗成效。www.haohanprint.com